総合人間ドック・エグゼクティブEXECUTIVE
全身の検査に加え、心臓、脳、大腸を精密にチェック
こんな人におすすめ
- 生活習慣病やメタボリックシンドロームが気になる方。
- 喫煙習慣のある方
- 心臓の病気、脳の病気が気になる方。また、そのような疾病歴のあるご家族がいる方
発見可能な疾病
- 心疾患
- 狭心症、心筋梗塞、心臓弁膜症、不整脈
- 脳疾患
- 脳梗塞、脳腫瘍、脳動脈瘤
- がん
- 肺、胃、食道、十二指腸、大腸、肝臓、すい臓、※乳房、※子宮、※卵巣、前立腺
※オプション検査 - 生活習慣病
- 高血圧、糖尿病、脂質異常症、高尿酸血症
- 感染症
- B型・C型肝炎、梅毒、ピロリ菌
- その他
- 甲状腺機能異常症、骨粗鬆症、貧血、脂肪肝、胆石、腎機能障害、前立腺肥大


心臓と血管のスペシャリスト、院長高橋が丁寧に診断
医・歯の連携も強固にして、あらゆる観点から健康状況を確認
心臓、脳、血管、肺、肝臓、胃、大腸など、全身を満遍なく調べる充実した人間ドックです。所要日数は1日。
特に充実しているのは、心臓の検査。心臓と血管のスペシャリストである院長高橋が、高精度な医療機器と高い技術を用いて精緻に診断します。一般的な人間ドックでは心電図により不整脈の有無や狭心症の可能性などを調べますが、当院ではそれに加えて冠動脈石灰化スコアリングなどの検査も実施。心電図だけでは見つけづらい狭心症のリスクも予見します。
そのほか心臓の検査では、心筋梗塞や脳梗塞の発症リスクを評価する新しい指標「Lox-index」も採用。これは、今後10年以内に脳梗塞や心筋梗塞が発症する確率を調べるもので、現在、これらの疾患の発症リスクを評価する検査としては、唯一の検査です。
また、大腸検査は身体への負担が少ない”バーチャル内視鏡”として注目を浴びる大腸3D-CTを採用。オプションで※大腸内視鏡に変更していただけるのも特徴です。
※追加料金がかかります。
検査1日目には、歯科でのオーラルチェック※も実施。歯周病のある人は、心臓や脳、糖尿病などの生活習慣病と関連が高いことから、歯科との医療連携も強固にし、あらゆる観点から全身の健康リスクを見極めます。
※別日で受診することも可能です。
検査の特徴

冠動脈CT検査
循環器の専門医、院長高橋が診断。心電図などの基本的な検査に加え、「Lox-index」「冠動脈石灰化スコアリング」などの検査もコースに含まれています

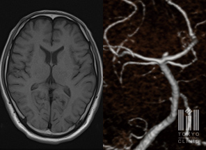
頭部MRI/MRA検査
CTよりも鮮明な画像を得られるため、脳血管障害の早期診断に有効です

大腸3D-CT検査
大腸検査は、検査時間が短く身体に負担の少ない大腸3D-CTを採用

超音波検査
腹部は超音波検査に加えCT検査を行い、胸部はX線・CT検査を行うなど、肝臓や肺の疾患もさらに詳細な検査を実施。先手を打つ医療を実現しています

歯科衛生士によるオーラルチェック
歯科との連携により、オーラルチェックを実施。口腔内の状態から全身疾患を早期に発見・予防することが可能です

血液検査
検体項目は80項目。全身の健康状態を確認し、各臓器をより詳細に調べます。今後、発症する可能性のある疾患まで多角的に見極めます
検査の種類
生理機能検査
- 心電図
- 肺機能
- 身体検査
- 骨密度
- 血管年齢(CAVI/ABI)
画像検査
- 超音波検査(心臓・腹部・頚動脈)
- 頭頚部MRI/MRA
- 胸部検査(X線・80列CT)
- 内臓脂肪CT
- 腹部CT
- 大腸検査(大腸3D-CT)
- 冠動脈単純CT
- 胃内視鏡検査
婦人科検査(※女性のみ)
(オプション)
- 乳腺・経膣 超音波検査
- マンモグラフィ
- 内診
- 子宮頸部細胞診
検体検査
- 心筋梗塞・脳梗塞発症リスク検査(Lox-index)
- 血液検査(60項目)
- 腫瘍マーカー(男性5項目/女性6項目)含む
- 尿検査
- ピロリ菌検査
診察
- 内科診察
特殊検査
- 生活習慣病リスク予測AI検査
(糖尿病、肥満症、高血圧症、脂質異常症、腎機能障害、肝機能障害) - 糖化度検査
口腔内検査
- オーラルチェック
栄養指導
- 管理栄養士による栄養指導
※婦人科検査は総合人間ドックを受診される方に限り、オプション(44,000円)で承っております。
ご希望の方は、2週間以内の婦人科診療日にご予約ください。
※更に婦人科検査のオプションとして、乳房MRI検査も行っております。
※海外居住者の外国籍の方は、料金が異なりますのでお問い合わせください。
※大腸検査は、オプションで大腸内視鏡検査(33,000円)に変更が可能です。
検査オプションランキング
検査の流れ(1Dayプランの場合)
お着替えいただきます
+
大腸3D-CT検査
+
胃部内視鏡検査
総合人間ドック「エグゼクティブ」1Dayプランの場合、歯科のオーラルチェクは“後日”の受診になります。
※受付から検査終了までのお時間は約6~7時間ほどです
検査の流れ(2Daysプランの場合)
※オプションで大腸内視鏡をご選択された場合は、2dayプランになります。
お着替えいただきます
(CTor内視鏡のいずれか選択)を実施
※受付から検査終了までのお時間は1日目は約5時間、2日目は約3時間ほどです
※オプションで大腸検査をご選択された場合の2日目の所要時間は約6時間です
よくある質問
- 基本的な検査だけではなく、三大疾病(心臓、脳、がん)含めて一度きちんと全身を検査したいのですが、このコースは適していますか?
- 心臓や脳、血管、肺、肝臓、胃や大腸など全身の主要な器官を調べる充実した検査内容になっています。罹患率の高い心疾患(狭心症や心筋症など)、脳疾患(脳動脈瘤や脳腫瘍など)、がんの三大疾病を含む全身疾患をくまなくチェックするコース内容になっています。
- 主にどんな病気(疾病)を発見するための検査ですか?
- 三大疾病の心疾患(狭心症、心筋症など)、脳疾患(脳動脈瘤、脳腫瘍、脳梗塞など)、がん(消化器系のがん、婦人科系のがん、呼吸器系のがんなど)を発見するのに有効な検査です。
- 大腸3D-CT検査の所要時間はどれくらいですか?
- 検査時間は約20分です。
- どうしても1日で検査を終了したいです。可能ですか?
- はい、可能です。ただし、事前に一度ご来院いただき、2日目に行う予定の胃部内視鏡と大腸検査(この場合「CT検査のみ」となります)の検査説明をお受け頂きます。看護師より事前説明の上、大腸検査食をお持ち帰りいただきます。
- エグゼクティブ受診1日目に「歯科」のオーラルチェック(口腔内検査)がありますが、具体的にはどういう検査をするのですか?
- 口腔内のレントゲン撮影をはじめ、虫歯の検査、歯周病の検査、位相差(いそうさ)顕微鏡を用いた細菌検査と全4項目の検査を行います。口腔内全体の状態を検査することで歯周病と糖尿病との関連性の有無を診査・診断したり、心疾患や婦人科系での検査結果と照合するなど歯科・医科の各担当医師が分析いたします。







ホーム
