ブレインヘルスドックBRAIN HEARTH DOCK
人生のQOL(生活の質)を左右する脳疾患と認知機能低下を
適切な検査で早期に発見
こんな人におすすめ
- 飲酒・喫煙習慣のある方
- 脳疾患のご家族歴がある方
- 記憶力や処理能力の低下を感じる方
- 年齢を重ね脳機能の健康状態が気になる方
発見可能な疾病
脳疾患すべて(脳腫瘍、脳梗塞、くも膜下出血、脳出血など)認知機能低下(アルツハイマー型認知症・脳血管性認知症など)


充実した検査内容
加齢とともに、もの忘れが増えるのは自然なことです。そのため、もの忘れの症状が「うっかり」か「認知症」かを適正に判断するのは実は難しいことなのです。当院では頭部MRIを行い、出血や梗塞などの異常がないかを調べるとともに、記憶力をつかさどる海馬の萎縮度を測定。さらに、医学的に確立された対面式の記憶力検査などを組み合わせることで総合的に診断を行っています。
検査の特徴

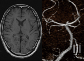
頭部MRI/MRA検査
あらゆる角度から脳の健康状態を確認。特に、頭部MRI・頭頚部MRA検査を併用することで、 脳の異常の早期発見に努めます

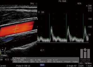
頚動脈超音波検査
仰向けに寝た状態で首にゼリーを塗り、動脈硬化を診断します

CAVI検査
心臓や頚動脈が脳梗塞にも関連することから、心電図や頚動脈超音波検査も実施。複合的に脳の状態を調べます

血液検査
検体検査も充実。脳機能障害の将来的リスクを調べるApoE遺伝子検査や軽度認知障害のリスクを予見するMCIスクリーニング検査も採用しています。

Support Brain検査
(AI認知症将来リスク予測検査)脳の一部(海馬など)のみならず、脳全体の状態を把握することで、膨大なデータベースと照合し高精度の解析を実現。脳各部位の体積の将来変化を予測することで、これまでの解析以上に正確な脳状態を確認できます。
※受診対象:50歳以上の方推奨
Brain Life Imaging検査
(海馬体積・認知症スコア)Brain Life Imaging®(海馬体積年齢・認知症スコア)では、簡単な認知機能テストと脳MRIをAIで解析し、「海馬」領域の体積を測定・可視化し、認知機能の早期対策へ導くAIプログラムです。
検査の種類
生理機能検査
- 心電図
- 眼底検査
- 長谷川式認知症スケール(HDS-R)
- MMSE検査
- 血管年齢検査(CAVI/ABI)
画像検査
- 頭部MRI
- 頭頚部MRA
- 頭動脈超音波
- VSRAD
- Brain Life Imaging検査
- Support Brain検査
検体検査
- 採血
- 尿検査
- ApoE遺伝子検査・MCIスクリーニング検査プラス
診察
- 内科診察
栄養指導
- 管理栄養士による栄養指導
※海外居住者の外国籍の方は、料金が異なりますのでお問い合わせください。
検査の流れ
受付
1更衣室にて検査着に
お着替えいただきます
お着替えいただきます
2各種検査を実施
検査終了
※受付から検査終了までのお時間は約2時間30分ほどです
よくある質問
- 主人の物忘れがひどく、これが年齢的なものなのか病気なのか判断がつきません。
- 老化と共に物忘れが起きるのはごく当たり前のことです。ですが、ブレインヘルスドックは記憶力の検査(VSRAD検査)だけでなく、脳の組織の異常を調べる検査(頭部MRI検査)、脳全体の血管の状態を描き出し、くも膜下出血や脳梗塞のリスクがないかを調べる検査(MRA検査)なども行います。脳全体の健康状態を確認する意味でも一度検査を受けられることをお勧めします。
- 祖母が80才になります。年齢的にも物忘れがひどくなるのはしょうがないのですが、一度検査を受けたいと思います。具体的にはどういう検査をするのですか?
- 上記にありますように、検査機器を用いた脳実質の検査のほか、対面式の記憶力検査を行います。
- 物忘れがひどく一年前に他院で受けたことがあります。現在も当時とあまり本人の状況は変わっていないのですが、再度受診すべきでしょうか?
- 脳全体の健康状態を確認する意味でも一年に一度受診されることをお勧めします。
- 所要時間はどれくらいですか?
- 約2時間30分です。







ホーム