総合人間ドック・スーパープレミアムSUPER PREMIUM
疾病を未然に防ぎ、若々しさを保ちたい方に
新たな時代をリードする人間ドック
「予防」のその先へ―
こんな人におすすめ
- 全身のあらゆる病気をまとめてチェックしたい方
- 心疾患、脳疾患、がんなどの三大疾病をきちんと検査したい方
- 病的な老化を是正し、いつまでも若々しくいたい方
発見可能な疾病
- 心疾患
- 狭心症、心筋梗塞、心臓弁膜症
- 脳疾患
- 脳梗塞、脳腫瘍、脳動脈瘤
- がん
- 肺、胃、食道、大腸、肝臓、すい臓、乳房、子宮、卵巣、前立腺
- 生活習慣病
- 高血圧、糖尿病、脂質異常症、高尿酸血症
- 感染症
- B型・C型肝炎、梅毒、ピロリ菌
- その他
- 甲状腺機能異常症、骨粗鬆症、貧血、脂肪肝、胆石、腎機能障害、前立腺肥大、認知症、更年期障害、病的な老化


高精度の検査で、疾病を「早期発見」から「未然に防ぐ」へ
身体の若々しさを保つため、エイジング検査も充実
特別に設定した、当院オリジナルのスペシャルコース。全身のあらゆる病気を徹底的にチェックすることはもちろん、抗加齢医学の検査も行うことで、病気を早期発見するにとどまらず、病気の発症そのものを未然に防ぐことを目指します。
特に充実しているのは、三大疾病の検査項目です。現在、心疾患、脳疾患、がんの「三大疾病」は、日本における死亡要因のワースト3。本コースではこれらの疾患すべてに対し、より精度を高めるための検査が多数組み込まれており、疾患の早期発見に努めます。特に、院長高橋の専門である循環器系の検査は非常に充実。近年、増加し続ける心筋梗塞や狭心症など、虚血性心疾患の発症リスクを予見します。
また、抗加齢医学の観点から、エイジング検査が組み込まれているのも本コースの特徴です。体内で加齢がどれくらい進んでいるかの指標となる「糖化度・酸化度の検査」や体内に蓄積している有害金属の量を推定できる「オリゴスキャン」なども実施。ただ見た目を若々しく整えるのではなく、内面もいきいきと健康である“真の若さ”を追求します。
本コースでは、ホテルのようなくつろぎを感じさせる特別室をご用意。ゆったりとした空間で、リラックスして受診していただけます。
将来、発症するかもしれない病気を”未病”のうちに発見し、適切な先手を打つ。そして、身体の内面・外面ともに、真に若々しくあり続ける―。これは、次世代の人間ドックということです。
特別室
検査の特徴

専門医による診察
心疾患、脳疾患、がんの三大疾病に対し、高性能の検査と専門医による診察を実施。院長高橋の専門である循環器は、特に充実しています。

冠動脈CT検査
カテーテルを使用せずに冠動脈の画像を撮影します。検査時間も短く、心臓カテーテル検査に比べて負担が少なく検査できます。

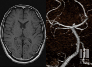
頭部MRI/頭頚部MRA検査
脳梗塞や脳出血など、脳の組織や血管に異常がないかを検査します。医療被ばくの心配がありません。

胃部内視鏡検査
食道から胃・十二指腸までを観察。ご希望の方は医師とご相談のうえ、鎮静剤をご使用いただけます。

心臓超音波検査
冠動脈CTとMCG検査(心筋虚血診断検査)を併用することで、心疾患を早期に発見します。

MRI検査
放射線による医療被ばくがなく、造影剤を使用せずに血管を抽出することができます。

高次脳機能検査
予防医学とは、病気にならないよう未然に防ぐための医学です。健康を損ねる因子を見つけ将来のために、自分の心身状態を把握することが重要です。

腸内DNA検査
腸内の状況は腸以外の疾患にも関係することが明らかにされつつあり、腸内細菌叢(腸内DNA検査)を理想的なバランスで整えることが若さと健康維持に大切です。
検査の種類
生理機能検査
- 心電図
- 肺機能
- 心筋虚血診断検査(MCG)
- 身体検査
- 骨密度
- 血管年齢(CAVI/ABI)
画像検査
- 超音波検査(心臓・腹部・頚動脈・甲状腺)
- 内臓脂肪CT
- 腹部CT
- 冠動脈造影CTあるいはMRI
- 胸部検査(X線・80列CT)
- 大腸検査(大腸3D-CT)
- 頭頚部MRA
- MRI(頭部・骨盤)
- 胃内視鏡検査
婦人科検査(※女性のみ)
- 乳腺・経膣 超音波検査
- マンモグラフィ
- 内診
- 子宮頸部細胞診
検体検査
- 血液検査(80項目)
- 心筋梗塞・脳梗塞発症リスク検査(Lox-index)
- 腫瘍マーカー(男性8項目・女性10項目)
- 免疫系検査
- 糖化度・酸化度検査
- 尿検査(尿細胞診含む)
- ピロリ菌検査
- エイジマネジメント検査
診察
- 内科診察(特別室にて診察)
特殊検査
- 生活習慣病リスク予測AI検査
(糖尿病、肥満症、高血圧症、脂質異常症、腎機能障害、肝機能障害) - 高次脳機能検査(外国人は不可)
- 自律神経検査
- 腸内DNA検査
- オリゴスキャン
- 糖化度・酸化度検査
口腔内検査
- オーラルチェック
栄養指導
- 管理栄養士による栄養指導
※更に婦人科検査のオプションとして、乳房MRI検査も行っております。
※海外居住者の外国籍の方は、料金が異なりますのでお問い合わせください。
※大腸検査は、オプションで大腸内視鏡に変更が可能です。
検査の流れ
お着替えいただきます
大腸3D-CT検査を実施
※受付から検査終了までのお時間は1日目は約8時間、2日目は約3時間ほどです
※オプションで大腸検査をご選択された場合の2日目の所要時間は約6時間です
よくある質問
- 「エグゼクティブ」コースとの違いは何ですか?
- 三大疾病(心疾患、脳疾患、がん)の基本検査すべてに対応している点では「エグゼクティブ」と一緒ですが、血液検査の項目数は80項目にも及び、腫瘍診断に役立つ腫瘍マーカーの検査項目は男女ともにさらに詳しく調べます。また、(エグゼクティブコース同様に)歯科でのオーラルチェック(口腔内検査)を行うことで歯周病と全身疾患との関連性の有無を調べるなど、より充実した検査内容になっています。さらに、このコースでは抗加齢医学も含めて隠れた病変を探る目的でエイジング検査を行います。発症そのものを未然に防ぐことにも役立つ検査内容です。院長高橋の専門分野である循環器系の検査が充実していることも大きな特徴です。
- 所要時間はどれくらいですか?
- 1日目は約7時間(医科6時間+歯科1時間)
2日目は約3時間(胃部内視鏡検査+大腸検査)です。 - 人間ドックの検査が長時間なため、2日目の検査は少し間を空けて受診したいのですが、可能ですか?
- 受診後2週間以内でしたら可能です。
- このコースを受けることで(検査以外に)何か特別なことはありますか?
- 内科診察や検査結果のご説明は、クリニック内の診察室とは別にエグゼクティブエリアの特別室をご用意しております。検査結果の内容は室内に設置しておりますテレビモニターに画像を映してご説明いたします。受付をはじめ、検査着への更衣、会計もすべて同エリア内にて完結いたします。
- 総合人間ドックのコースで「エイジング検査」が入っているのはこのコースだけですが、具体的にはどういう検査をするのですか?
- 糖化度や酸化度検査、そして体内の有害金属の含有度を調べるオリゴスキャン検査などを行います。これらの検査を行うことで身体の内側だけでなく、見た目の若々しさにも医学的にアプローチします。







ホーム




